Contact

You can reach us from the contact information below.

Telephone +90 (262) 641 95 25

Mail info@silvanrolls.com

SD-B-Cr64

Description

Acicular sphero rolls are produced from high alloy spheroidal graphite cast iron material. 

After casting, these rolls are treated through a long-time, low-temperature annealing process which is primarily applied for the purpose of relieving the internal stresses, as well as to ensure the complete transformation of possibly retained austenitic phase in the microstructure.

This microstructure named as acicular structure is obtained through formation of bainitic and needle structured martensitic carbides. 

  • Cr, Ni, Mo alloyed spheroidal cast iron
  • Bainite + Carbide + Spherolite
  • Hardness drop
  • Tensile strangth: 400 – 600 N/mm2, Bending strength: 750 – 900 N/mm2
  • On intermediate stands, finishing stands for light sections
  • Resistance to wear
  • Sensitive to firecracks, attention to cooling
Hardness Profile
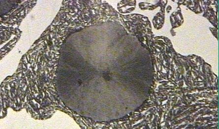
Microstructure
Chemical Analysis & Hardness
HARDNESS 
(SHORE C)
CHEMICAL ANALYSIS
C% Si% Mn% Cr% Ni% Mo%
62-67 3.0 - 3.5 1.2 - 1.8 0.3 - 0.8 0.6 - 1.2 3.0 - 4.0 0.5 - 1.0

Mechanical Properties

MECHANICAL PROPERTIES
Tensile Strength
(N/mm2)
Bending Strength
(N/mm2)
Microstructure
400-600 750-900 Carbides + Spherolite in bainitic matrix

Innovative Products and Service

footer logo